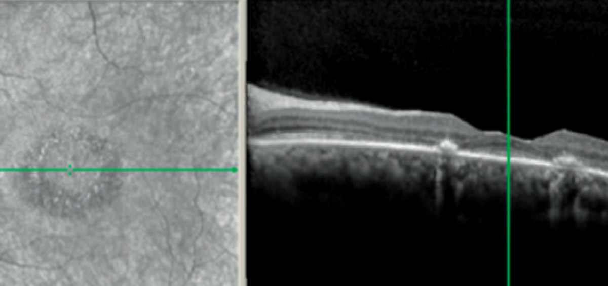
L’idrossiclorochina, utilizzata per il trattamento di malattie autoimmuni, come l’artrite reumatoide e lupus eritematoso, e può causare patologie retiniche non reversibili. Alcuni studi scientifici hanno dimostrato che l’utilizzo a lungo termine, almeno 5 anni, di idrossiclorochina ha pochi effetti collaterali sistemici ma può portare a danni irreversibili alla retina. Tuttavia, la retinopatia e la maculopatiaRead more









